Menu Chiudi

DIAGNOSI:

Sebbene la coalizione sia già presente alla nascita, spesso la sua presenza non viene scoperta fino alla tarda infanzia o all’adolescenza. Questo avviene perché le coalizioni seguono lo sviluppo del piede. I piedi dei bambini più piccolo sono formati da una percentuale maggiore di cartilagine morbida.

Quando il bambino cresce, questa cartilagine si mineralizza (ossifica), dando origine a un osso duro e maturo. Anche le sinostosi, generalmente, nei bambini più piccoli sono formate da tessuto molle (fibroso il cui nome più corretto è sindesmosi o cartilagineo il cui termine più corretto è sincondrosi) che possono ossificarsi quando i bambini entrano nell’adolescenza (diventando ossee che sono le vere sinostosi), diventando più rigide e quindi sintomatiche.

Fino al 75% delle sinostosi possono essere completamente asintomatiche. I sintomi legate alle coalizioni tarsali possono essere estremamente variabili e sono generalmente correlate all’età per il motivo sopra descritto.

I bambini più piccoli (sotto agli 8 anni) possono presentare un affaticamento del piede mentre la coalizione rimane fibrocartilaginea. I sintomi si manifestino quando la coalizione si ossifica progressivamente, alterando la cinematica dell’articolazione. L’insorgenza dei sintomi può essere variabile, poiché i diversi tipi di coalizione si ossificano in momenti diversi. La coalizione talo-navicolare, rara, si ossifica più precocemente intorno ai 3-5 anni di età, le coalizioni calcaneo-navicolari si ossificano tra gli 8 e i 12 anni e le coalizioni astragalo-calcaneari solitamente tra i 12 e i 16 anni.

Solitamente il primo sintomo è il dolore ingravescente che peggiora con l’attività (come le passeggiate, lo sport ecc). La zona dove viene riferito il dolore varia a seconda della sede della sinostosi e può essere riferito anche alla gamba a causa della spasticità dei peronieri che spesso si associa a questa patologia.

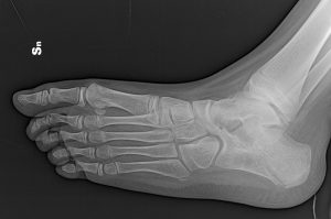
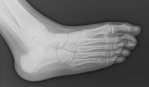
La visita è il primo passo per porre il sospetto diagnostico. Solitamente il riscontro più frequente è un piede piatto rigido associato ad un valgismo del calcagno. La differenza sostanziale con il piede piatto flessibile è che il piede piatto secondario ad una sinostosi tarsale non migliora fuori carico, ed è rigido.

La diagnosi viene solitamente confermata con la radiografia del piede che deve essere eseguita in tre proiezioni: antero-posteriore, laterale in carico, obliqua a 45° (fondamentale per le sinostosi calcaneo-scafoidee) e la proiezione calcaneare di Harris (fondamentale per la sinostosi astragalo-calcaneare).

La radiografia può essere dubbia quando le coalizioni tarsali sono fibrose o cartilaginee. In questi casi può essere indicata la risonanza magnetica.

La TAC, invece, permette di quantificare l’estensione della sinostosi, particolarmente utile nella forma astragalo-calcaneare.

Introduzione – Sinostosi tarsale
Trattamento – Sinostosi tarsale